Raio-X

Cientistas da computação do Paraná descobriram uma maneira de confirmar a Covid-19

21/04/2020 / Atualizado em 26/10/2025 Por Luciana Peña
Cientistas da computação do Paraná descobriram uma maneira de confirmar a Covid-19
Imagem ilustrativa/Foto: Reprodução/Internet

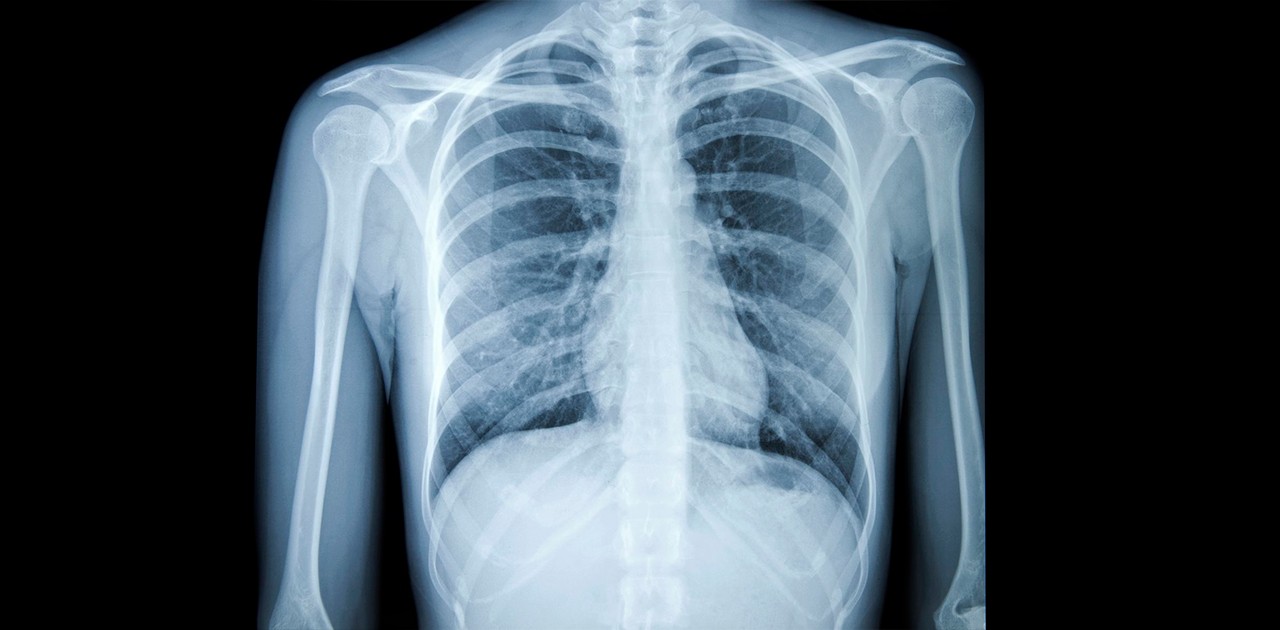
Entre esses cientistas está um pesquisador da UEM. A equipe descobriu padrões de lesões provocadas pela Covid-19 em pacientes que tiveram pneumonia, analisando exames de raio-x. O método ainda está sendo aperfeiçoado, mas poderá ajudar a confirmar a doença de forma mais rápida.


 

Existe uma corrida em universidades,  laboratórios e institutos de pesquisa para se buscar uma vacina, um  tratamento e formas de testagem para a Covid-19.

É uma corrida contra o tempo para debelar a pandemia do novo coronavírus e especialistas de várias áreas do conhecimento se dedicam a este trabalho.

No Paraná, um grupo de cientistas da computação, mesmo sem conhecimento médico, descobriu uma forma de ajudar.

São pesquisadores do Instituto Federal do Paraná, da  PUC, da Universidade Tecnológica Federal, em Campo Mourão e da Universidade Estadual de Maringá. 

Eles encontraram padrões nas lesões provocadas pela Covid-19 em pacientes com pneumonia ao analisar exames de raio- x.

Os pesquisadores acreditam que desta forma será possível confirmar a doença com exames de raio-x. Um exame que é mais barato do que uma tomografia e mais acessível nas unidades de saúde. 

O doutorando em informática pela PUC e professor do Instituto Federal do Paraná, Rodolfo Pereira, diz que a pesquisa ainda está em estágio inicial porque ainda é preciso confirmar a hipótese em um banco de dados maior.[ouça no áudio acima]

Uma das bases de dados utilizadas nesta pesquisa é de uma instituição de Montreal, no Canadá, diz o pesquisador da UEM, Yandre Costa. [ouça no áudio acima]

O esforço destes pesquisadores da área da informática é uma prova de que o mundo científico  está empenhado na guerra contra o coronavírus. E lembre-se: ao sair de casa, use máscara, uma recomendação da ciência para proteger a população.


Precisa sair de casa? Use Máscara. Clique aqui e saiba por que ela é importante